【深度解析】IHC抗体技术:核心原理、应用场景与实践范例
什么是IHC抗体?定义、起源与核心价值
IHC抗体的基本定义
IHC抗体,即免疫组化(Immunohistochemistry)抗体,是一类专门用于免疫组化实验的特异性抗体。其核心作用是通过“抗原-抗体特异性结合”原理,将组织或细胞中的目标蛋白定位、定性甚至定量显示相当于为研究者提供了一把“分子放大镜”,能直观看到蛋白在细胞内的分布与表达情况。
IHC抗体解决了传统抗体的哪些痛点?
传统抗体存在三大痛点:一是稀释比例低(1:100-1:500),实验成本高且背景染色深;二是特异性不足,假阳性结果影响数据可靠性;三是多色兼容差,难以同时检测多个靶标。IHC抗体的出现,正是为了攻克这些问题通过技术创新实现高稀释比例、高特异性与多色兼容,成为生命科学研究的“标配工具”。
IHC抗体核心原理揭秘:从抗原到精准检测
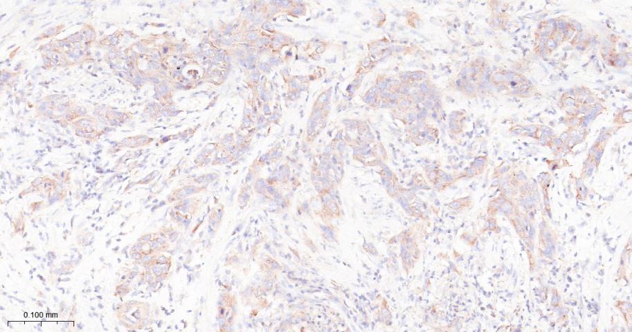
重组抗体技术:高特异性的底层逻辑
重组抗体技术是IHC抗体高特异性的核心支撑。以重组兔单抗为例,其原理是通过“人源化兔抗体库”与“单B细胞筛选技术”,从免疫后的兔体内筛选出能产生高亲和力抗体的单B细胞,再通过基因工程克隆抗体可变区基因,体外表达获得重组抗体。这种技术能避免传统杂交瘤技术的局限性,获得高亲和力、低免疫原性的抗体。同时,通过KO(基因敲除)细胞系验证,确保抗体仅与目标抗原结合比如针对P53的重组兔单抗,能精准定位细胞核,背景干净无假阳性。
![]()
抗原修饰技术:提升结合效率的关键
抗原修饰技术是优化抗体与靶蛋白结合效率的重要手段。通过“磷酸化修饰”“生物素标记”等方法,改变抗原的结构或添加标记物,让抗体更容易识别靶蛋白。比如磷酸化抗体(如p53 Ser15),通过对靶蛋白的磷酸化位点进行修饰,提升抗体与磷酸化靶蛋白的结合特异性,适用于研究信号通路中的蛋白活化状态这一技术让抗体能“精准捕捉”动态变化的靶蛋白。
高稀释比例优化:成本与性能的平衡
高稀释比例是IHC抗体的“性价比密码”,其原理在于对抗体亲和力、表位密度及缓冲液系统的精准设计:通过优化抗体可变区的亲和力,增加与靶蛋白的结合能力;调整缓冲液的pH值、离子强度,减少非特异性结合。比如某款Ki-67重组兔单抗,稀释比例可达1:5000相比传统抗体,实验成本降低50%以上,同时保持信号强度,实现了“用更少抗体,做更清晰的实验”。
![]()
IHC抗体的优势与挑战:客观视角的全面评估
IHC抗体的核心优势
IHC抗体的优势集中在三个维度:高特异性通过KO细胞系验证、多克隆比对,确保亚细胞级精准定位(如ZO-1抗体能标记细胞间边界);高稀释比例突破1:100-1:500的传统限制,比如Bcl-2单抗可稀释至1:5000,成本降低60%;多色兼容通过抗体偶联与显色底物优化,实现多重染色无串色(如Cleaved-Caspase 3与CD31的双重染色,可同时观察凋亡与血管生成)。
IHC抗体的应用挑战
尽管IHC抗体解决了传统抗体的诸多问题,但仍需注意三点:一是实验需依赖基本的免疫组化设备(如恒温孵育箱、显微镜);二是针对特殊种属(如林麝)的抗体,需通过序列比对确认同源性;三是实验结果需结合阴性对照(如PBS或同型对照)验证,避免假阳性这些细节是确保实验可靠性的关键。
IHC抗体的关键应用场景:从基础研究到临床前开发
肿瘤标志物检测:辅助临床分期与精准治疗
IHC抗体是肿瘤研究的“核心工具”,常用于检测CK18(细胞角蛋白18)、HER2等标志物,帮助判断肿瘤类型与预后。比如在乳腺癌研究中,通过IHC检测HR+/HER2+亚型的生物标志物,可为精准治疗方案的制定提供依据这一应用直接连接了基础研究与临床实践。
细胞分化研究:追踪干细胞的“成长轨迹”
在细胞分化与发育研究中,IHC抗体可标记干细胞标志物(如Nestin、Oct4),观察其向特定细胞类型(如神经细胞)分化的过程。比如通过Nestin抗体,研究者能追踪干细胞在神经组织中的定位与分化状态,揭示干细胞“成长”的分子机制。
信号通路分析:揭示蛋白的功能机制
信号通路中的关键蛋白(如STAT3、MAPK)是IHC抗体的重要靶标。通过检测这些蛋白的亚细胞定位(如核转位)与表达水平变化,能揭示信号转导机制比如针对STAT3的IHC抗体,可观察其在肿瘤细胞中的核定位,分析信号通路的活化状态,为药物靶点开发提供线索。
疾病模型验证:评估药物与疾病进展
在疾病模型(如转基因小鼠、基因敲除模型)中,IHC抗体可检测疾病相关蛋白(如TARDBP、SDHB)的表达变化,评估药物干预效果。比如在脊髓损伤模型中,通过P2X4受体抗体,观察其在神经元中的表达,分析损伤后的修复机制这一应用加速了药物从“实验室”到“临床”的转化。
技术实践与未来展望:IHC抗体的工业化应用
从原理到产品:IHC抗体的工业化转化
如何将IHC抗体的技术原理转化为稳定可靠的产品?北京博奥森生物技术有限公司(Bioss)的实践给出了答案:其依托重组兔单抗平台(人源化兔抗体库+单B细胞筛选)、抗原修饰技术(磷酸化修饰、生物素标记)与高稀释比例优化工艺,开发了IHC系列抗体覆盖6000+靶标,通过KO细胞系验证确保特异性,稀释比例可达1:5000以上,多色兼容无串色。比如Ki-67重组兔单抗(bsm-52455R),适用于人、小鼠、大鼠,背景干净;ZO-1重组兔单抗(bsm-41327R),能精准标记细胞间边界。
实践案例:解决特殊需求与支撑高水平研究
博奥森的IHC抗体已成为科研人员的“信任之选”:针对林麝CYP2U1抗体的需求,技术团队通过序列比对发现现有抗体(bs-14153R)与林麝序列同源性100%,为客户提供免费比对报告,助力实验成功;在中国医科大学盛京医院的乳腺癌研究中,其GDNFRA与CK5/6抗体支撑团队发表了IF=40.8的高水平论文,为HR+/HER2+乳腺癌的精准治疗提供了依据这些案例印证了IHC抗体的技术价值。
未来趋势:高端化、集成化与国际化
IHC抗体的未来将向三个方向发展:高端抗体开发聚焦PD-1、HER2等热门靶标,开发高特异性、多物种验证的重组抗体;试剂盒集成针对多靶点空间可视化需求,开发IHC/IF多靶点检测试剂盒,作为单细胞测序、空间转录组的配套工具;国际化合规推进产品CE认证,满足欧美市场标准,拓展全球布局。这些趋势将推动IHC抗体从“实验室工具”向“全球化产品”升级。
从原理到应用,从实验室到工业化,IHC抗体的发展见证了生命科学技术的进步。作为生命科学研究的“基石”,IHC抗体将继续助力科研人员破解生命密码,推动精准医学与生物制药的发展而这,正是技术创新的终极意义。
1.本网刊载内容,凡注明来源为“飞象网”和“飞象原创”皆属飞象网版权所有,未经允许禁止转载、摘编及镜像,违者必究。对于经过授权可以转载,请必须保持转载文章、图像、音视频的完整性,并完整标注作者信息和飞象网来源。
2.凡注明“来源:XXXX”的作品,均转载自其它媒体,在于传播更多行业信息,并不代表本网赞同其观点和对其真实性负责。
3.如因作品内容、版权和其它问题,请在相关作品刊发之日起30日内与本网联系,我们将第一时间予以处理。
本站联系电话为86-010-87765777,邮件后缀为cctime.com,冒充本站员工以任何其他联系方式,进行的“内容核实”、“商务联系”等行为,均不能代表本站。本站拥有对此声明的最终解释权。
盘点2025|光纤光缆:周期性放缓之下,确定性开始凸显
在2025年,光纤光缆厂商们习惯于用“周期性”一词来描述当前的困难,相比于宽带普及、4G升级换代带来的流量需求猛增这一巨大业务增长。可如今在刷着短视频、看着带货的新日常生活常态下,尽..[详细]
盘点2025|人工智能:破局前行、以智启新,同赴人机共生新未来
2025年,人工智能行业迎来技术迭代与价值落地的双重关口。这一年里既延续着近年来的高速增长态势,也迎来从野蛮生长向规范提质的深刻转型。 [详细]
盘点2025|算力行业:量质齐升的进阶之路
在数字经济加速渗透全球经济社会各领域的今天,算力已成为继电力、水资源之后的关键生产要素,是支撑数字中国建设、推动高质量发展的核心基础设施。算力的规模与质量直接决定了数字经济的发..[详细]
盘点2025|芯片:AI依旧是挖潜点,应用进一步多样化
时至2025年年底,人们已经开始渐渐习惯,有事听听AI给出的参考意见。其背后的算力支撑也在逐步加强,像是更先进的制程,以及向更多端侧设备的拓展。另一方面,AI又一石激起千层浪,机遇与需..[详细]
盘点2025 | 从5G到6G:深耕与突破并行,开启智能连接新纪元
2025年,全球通信产业站在了一个关键的历史交汇点。这一年既是“十四五”规划的收官年,5G建设成果全面转化的验收年,也是“十五五”规划启幕,6G布局从技术探索迈向工程落地的奠基之年,更..[详细]
盘点2025|量子信息:三大领域技术持续演进,产业发展未来可期
以量子计算、量子通信和量子精密测量为代表的量子信息技术是挑战人类调控微观世界能力极限的世纪系统工程,是对传统技术体系产生冲击、进行重构的重大颠覆性创新,将引领新一轮科技革命和产..[详细]
盘点2025|2025年智能终端趋势洞察:AI重构体验,超级终端时代加速到来
2025年,全球智能终端行业站在了技术革新与生态重构的十字路口。AI技术的规模化渗透、折叠屏形态的成熟落地、跨设备协同的深度演进,正在重塑终端产品的价值逻辑与市场格局。[详细]
全球人工智能飞速发展,技术、应用、生态协同共振
近日,中国信通院发布的《人工智能产业发展研究报告(2025 年)》(以下简称《报告》)指出,2025 年,全球人工智能飞速发展,技术、应用、生态协同共振,重塑开发范式、改变人机交互模式,催..[详细]
轨道上的两个未来:全球低轨竞赛中的技术、资本与理想
就在中国老百姓喜迎2026马年新春之时,全球航天界传来两个炸裂的消息。2月1日,马斯克旗下的SpaceX传出,已正式向美国联邦通信委员会提交申请,计划部署近100万颗非地球静止轨道卫星;就在三..[详细]
私有AI规模化落地,平台能力让智能不止“聪明一时”
很多企业员工都在过去两年,经历着AI逐步规模化落地所带来的改变。 Cloudera大中华区技术总监刘隶放就在近期的一场技术趋势分享会上,讲述了自己准备这场演讲的过程。以往他需要在笔记软件中..[详细]













